Peer S, Gruber I, Peer R Radiologischer Follow-up nach chirurgischer Behandlung der morbiden Adipositas Journal für Gastroenterologische und Hepatologische Erkrankungen 2007; 5 (1): 19-26 Volltext (PDF) Summary Übersicht | ||||||||||||||||
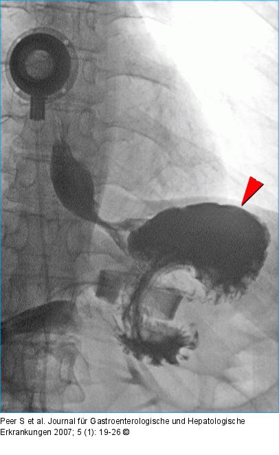
Abbildung 4: LAGB Lateral exzentrische Pouchdilatation nach LAGB: Das Magenband ist verkippt mit einem Phi-Winkel von > 90°. Kranial des Bandes findet sich ein großer, mit Kontrastmittel gefüllter Pouch (Pfeilspitze), der dem hochgerutschten Magenfundus entspricht. Die Passage durch das Magenband ist erhalten. |
Abbildung 4: LAGB
Lateral exzentrische Pouchdilatation nach LAGB: Das Magenband ist verkippt mit einem Phi-Winkel von > 90°. Kranial des Bandes findet sich ein großer, mit Kontrastmittel gefüllter Pouch (Pfeilspitze), der dem hochgerutschten Magenfundus entspricht. Die Passage durch das Magenband ist erhalten. |
