Verlag für Medizin und Wirtschaft
Artikel
Bilder
Volltext
Mobile Version
A-
|
A
|
A+
Werbung
Abo
Bestellung Jahresabonnement (Print/elektronisch)
Bestellung kostenloses e-Journal-Abo
Mediadaten
Journale
News
Datenbanken
Suche Medizinische Publikationen
Suche Abbildungen und Grafiken
Medizinprodukte - Labortechnik
Antidotarium (Stand 2012)
Phytokodex (Stand 2012)
Endoskopie in Österreich (Stand 2010)
Kardiologie in Österreich (Stand 2006)
Osteologie in Österreich (Stand 2016)
Fortbildung
Bücher
Fachbücher
Patientenliteratur
Impressum
Offenlegung
Kontakt
Disclaimers & Copyright
Allgemeine Geschäftsbedingungen
Datenschutzerklärung
Sitemap
Abbildungen und Graphiken
Schmitt B
Fallbericht: Ein Patient mit Vorhofflimmern, Linksschenkelblock und akutem Myokardinfarkt
Journal für Kardiologie - Austrian Journal of Cardiology 2007; 14 (3-4)
: 98-99
Volltext (PDF)
Abbildungen
Abbildung
Vollbildansicht
Tachykardes Vorhofflimmern
Abbildung 1: EKG bei Aufnahme: tachykardes Vorhofflimmern 120/min, Linksschenkelblock.
Keywords:
EKG
,
Kardiologie
,
Vorhofflimmern
Vollbildansicht
ST-Hebung - Posterolateralbereich
Abbildung 2: EKG mit Thoraxschmerzen, nun ST-Hebung im Posterolateralbereich.
Keywords:
EKG
,
Kardiologie
,
ST-Hebung
Vollbildansicht
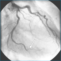
Arteria circumflexa
Abbildung 3: Koronarangiographie: embolischer Verschluß des Ramus marginalis der Arteria circumflexa.
Keywords:
Arteria circumflexa
,
Kardiologie
,
Koronarangiographie
Vollbildansicht
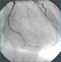
Rekanalisation - Ballondilatation
Abbildung 4: Nach erfolgreicher Rekanalisation und Ballondilatation.
Keywords:
Ballondilatation
,
Echokardiographie
,
Kardiologie
,
Rekanalisation
copyright © 2000–2025
Krause & Pachernegg GmbH
|
Sitemap
|
Datenschutz
|
Impressum
Werbung