Schmitt B Fallbericht: Ein Patient mit Vorhofflimmern, Linksschenkelblock und akutem Myokardinfarkt Journal für Kardiologie - Austrian Journal of Cardiology 2007; 14 (3-4): 98-99 Volltext (PDF) Übersicht | ||||||||
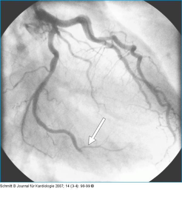
Abbildung 3: Arteria circumflexa Koronarangiographie: embolischer Verschluß des Ramus marginalis der Arteria circumflexa. |
Abbildung 3: Arteria circumflexa
Koronarangiographie: embolischer Verschluß des Ramus marginalis der Arteria circumflexa. |
