Schmitt B Fallbericht: Ein Patient mit Vorhofflimmern, Linksschenkelblock und akutem Myokardinfarkt Journal für Kardiologie - Austrian Journal of Cardiology 2007; 14 (3-4): 98-99 Volltext (PDF) Übersicht | ||||||||
Abbildung 4: Rekanalisation - Ballondilatation Nach erfolgreicher Rekanalisation und Ballondilatation. |
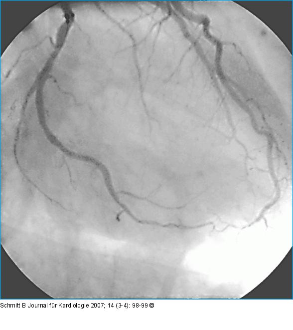
Abbildung 4: Rekanalisation - Ballondilatation
Nach erfolgreicher Rekanalisation und Ballondilatation. |
