Krause und Pachernegg
Verlag für Medizin und Wirtschaft
Artikel   Bilder   Volltext

Mobile Version
A-  |   A  |   A+
Werbung
 
Abbildungen und Graphiken
Biedermann B et al.  
Dissektionen der Arteria carotis interna und vertrebralis: Ursachen, Symptome, Diagnostik und Therapie

Journal für Neurologie, Neurochirurgie und Psychiatrie 2007; 8 (2): 7-18

Volltext (PDF)    Summary    Abbildungen   


Abbildung
 
Horner-Syndrom
Abbildung 1: 50jähriger Patient mit Horner-Syndrom rechts am Boden einer langstreckigen Karotisdissektion rechts (siehe auch Abb. 2)


Keywords: FotoHorner-SyndromNeurologie
 
 
Horner-Syndrom
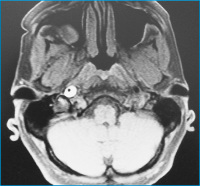
Abbildung 2: Zerebrales MRT in fettgesättigter T2-Gewichtung: Darstellung des halbmondförmigen Wandhämatoms der ACI rechts knapp oberhalb der Bifurkation bis in die Pars petrosa reichend bei einem 50jährigen Patienten (siehe Abb. 1), der nur mit einem Horner-Syndrom und Kopfschmerzen symptomatisch wurde (mit freundlicher Genehmigung von Dr. T. Gotwald, Radiologie II, Medizinische Universität Innsbruck)


Keywords: Horner-SyndromMRTNeurologie
 
 
Extrakranielle ACI
Abbildung 3: Farbduplexsonographie der extrakraniellen ACI rechts: Darstellung einer langstreckigen zirkulären echoarmen Veränderung (Pfeile), einem intramuralen Hämatom entsprechend, die zu einer hämodynamisch relevanten Lumeneinengung führt. Befund der Kontrolluntersuchung einer 50jährigen Patientin, die mit einer rechtshirnigen TIA am Boden einer okklusiven Karotisdissektion symptomatisch wurde; Nachweis einer teilweisen Rekanalisation.


Keywords: ACIFarbduplexsonographieNeurologie
 
 
 
copyright © 2000–2026 Krause & Pachernegg GmbH | Sitemap | Datenschutz | Impressum
 
Werbung