Biedermann B, Sojer M, Stockner H, Spiegel M, Schmidauer C Dissektionen der Arteria carotis interna und vertrebralis: Ursachen, Symptome, Diagnostik und Therapie Journal für Neurologie, Neurochirurgie und Psychiatrie 2007; 8 (2): 7-18 Volltext (PDF) Summary Übersicht | ||||||
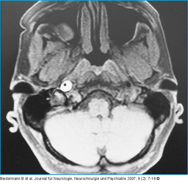
Abbildung 2: Horner-Syndrom Zerebrales MRT in fettgesättigter T2-Gewichtung: Darstellung des halbmondförmigen Wandhämatoms der ACI rechts knapp oberhalb der Bifurkation bis in die Pars petrosa reichend bei einem 50jährigen Patienten (siehe Abb. 1), der nur mit einem Horner-Syndrom und Kopfschmerzen symptomatisch wurde (mit freundlicher Genehmigung von Dr. T. Gotwald, Radiologie II, Medizinische Universität Innsbruck) |
Abbildung 2: Horner-Syndrom
Zerebrales MRT in fettgesättigter T2-Gewichtung: Darstellung des halbmondförmigen Wandhämatoms der ACI rechts knapp oberhalb der Bifurkation bis in die Pars petrosa reichend bei einem 50jährigen Patienten (siehe Abb. 1), der nur mit einem Horner-Syndrom und Kopfschmerzen symptomatisch wurde (mit freundlicher Genehmigung von Dr. T. Gotwald, Radiologie II, Medizinische Universität Innsbruck) |
