Verlag für Medizin und Wirtschaft
Artikel
Bilder
Volltext
Mobile Version
A-
|
A
|
A+
Werbung
Abo
Bestellung Jahresabonnement (Print/elektronisch)
Bestellung kostenloses e-Journal-Abo
Mediadaten
Journale
News
Datenbanken
Suche Medizinische Publikationen
Suche Abbildungen und Grafiken
Medizinprodukte - Labortechnik
Antidotarium (Stand 2012)
Phytokodex (Stand 2012)
Endoskopie in Österreich (Stand 2010)
Kardiologie in Österreich (Stand 2006)
Osteologie in Österreich (Stand 2016)
Fortbildung
Bücher
Fachbücher
Patientenliteratur
Impressum
Offenlegung
Kontakt
Disclaimers & Copyright
Allgemeine Geschäftsbedingungen
Datenschutzerklärung
Sitemap
Abbildungen und Graphiken
Kammler J
EKG-Beispiel: Transmurale Ischämie mit Erstickungs-T-Wellen
Journal für Kardiologie - Austrian Journal of Cardiology 2008; 15 (9-10)
: 320-321
Volltext (PDF)
Abbildungen
Abbildung
Vollbildansicht
Transmurale Ischämie - Erstickungs-T-Wellen
Abbildung 1: Bei Aufnahme, mit thorakalem Druck: Sinusrhythmus, LT, f = 75/min, spitze hohe T-Wellen in den Brustwandableitungen, deszendierende ST-Streckensenkungen inferior.
Keywords:
EKG
,
Kardiologie
,
ST-Streckensenkung
Vollbildansicht
Transmurale Ischämie - Erstickungs-T-Wellen
Abbildung 2: Kurz nach therapeutischer Anbehandlung, beschwerdefrei: Sinusrhythmus, LT, 60/min, ST-T oB
Keywords:
EKG
,
Kardiologie
,
Sinusrhythmus
Vollbildansicht
Transmurale Ischämie - Erstickungs-T-Wellen
Abbildung 3: Neuerlicher Anfall heftiger Angina pectoris: idem wie Abb. 1.
Keywords:
Angina pectoris
,
EKG
,
Kardiologie
Vollbildansicht
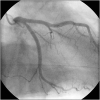
Transmurale Ischämie - Erstickungs-T-Wellen
Abbildung 4: Akutangio vor PCI
Keywords:
Angiographie
,
Kardiologie
,
PCI
Vollbildansicht
Transmurale Ischämie - Erstickungs-T-Wellen
Abbildung 5: Akutangio nach PCI
Keywords:
Angiographie
,
Kardiologie
,
PCI
copyright © 2000–2025
Krause & Pachernegg GmbH
|
Sitemap
|
Datenschutz
|
Impressum
Werbung