Kammler J EKG-Beispiel: Transmurale Ischämie mit Erstickungs-T-Wellen Journal für Kardiologie - Austrian Journal of Cardiology 2008; 15 (9-10): 320-321 Volltext (PDF) Übersicht | ||||||||||
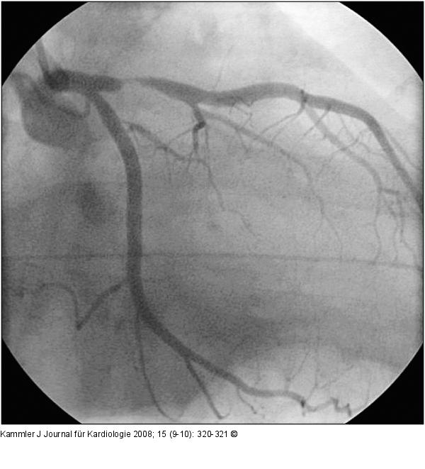
Abbildung 4: Transmurale Ischämie - Erstickungs-T-Wellen Akutangio vor PCI |
Abbildung 4: Transmurale Ischämie - Erstickungs-T-Wellen
Akutangio vor PCI |
