Krause und Pachernegg
Verlag für Medizin und Wirtschaft
Artikel   Bilder   Volltext

Mobile Version
A-  |   A  |   A+
Werbung
 
Abbildungen und Graphiken
Peer S  
Ultraschall in der Diagnostik peripherer Nervenläsionen

Journal für Neurologie, Neurochirurgie und Psychiatrie 2009; 10 (1): 54-59

Volltext (PDF)    Summary    Praxisrelevanz    Abbildungen   


Abbildung
 
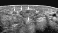
Nervus medianus
Abbildung 1a-b: Sonographischer Transversalschnitt (a) und Plastinationsschnitt (b) durch ein anatomisches Handgelenkspräparat mit Darstellung des Nervus medianus. In der Korrelation zeigt sich der Aufbau des Nervs aus mehreren Faszikelgruppen (Pfeile), welche durch echoreiches epineurales Gewebe voneinander getrennt und durch eine äußeres Epineurium (Pfeilspitzen) gegen die Umgebung abgegrenzt sind. FS: Flexorensehnen, PQM: Pronator quadratus-Muskel.


Keywords: Nervus medianusNeurologieSonographie
 
 
Nervus medianus
Abbildung 2: Sonographischer Längsschnitt durch den Nervus medianus (Pfeile) am distalen Unterarm eines Probanden mit Darstellung der typischen longitudinal verlaufenden, durch echoreiches Epineurium gegliederten, hypoechogenen Faszikelgruppen. Im Gegensatz dazu diskontinuierliche, eher echoreiche Faszikel der Beugesehnen (Pfeilspitzen).


Keywords: Nervus medianusNeurologieSonographie
 
 
Neruvs medianus
Abbildung 3a-c: (a) Sonographischer Längsschnitt durch den Nervus medianus (Pfeile) am distalen Unterarm eines Patienten mit Karpaltunnelsyndrom: Abrupter Kalibersprung (Pfeilspitzen) im Verlauf unter dem Ligamentum carpi transversum. (b) Sonographischer Querschnitt durch den Nervus medianus bei einem weiteren Patienten mit Karpaltunnelsyndrom: Deutliche Auftreibung des Nervs im proximalen Verlauf unter dem Ligamentum carpi transversum (Pfeilspitzen) mit einer Querschnittsfläche von 0,21 cm2 (Normwert bis 12 cm2). (c) Sonographischer Längsschnitt (selber Patient) durch den aufgetriebenen Nervus medianus (Pfeilspitzen) mit Darstellung multipler Farbsignale, hinweisend auf eine reaktive Entzündung.


Keywords: Nervus medianusNeurologieSonographie
 
 
Karpaltunnel
Abbildung 4: Sonographischer Querschnitt durch den Karpaltunnel einer Patientin mit klinischem Verdacht auf ein Karpaltunnelsyndrom. Der Nerv weist eine grenzwertige Querschnittsfläche von 0,11 cm2 auf, allerdings zeigt sich bei Hyperextension ein weit unter das Ligamentum carpi transversum (Pfeilspitzen) reichender Muskelbauch (M).* : normale Beugesehne.


Keywords: KarpaltunnelNeurologieSonographie
 
 
Sulcus nervi ulnaris
Abbildung 5: Sonographischer Querschnitt durch den Sulcus nervi ulnaris bei einem Patienten mit posttraumatischer Ulnarisparese. Im Seitenvergleich ist der Nervus ulnaris (Pfeil) der betroffenen linken Seite deutlich ödematös aufgetrieben, bei Verlust der faszikulären Gliederung. E: Epicondylus medialis numeri.


Keywords: NeurologieSonographieSulcus nervi ulnaris
 
 
Nervus peronaeus
Abbildung 6: Sonographischer Längsschnitt ("Extended field of view"-Sonogramm) durch den Nervus peronaeus bei einem Patienten nach Kniegelenksluxation mit Ausbildung eines "Neuroma in continuity". Der Nerv (Pfeilspitzen) ist bei erhaltener äußerer Hülle langstreckig aufgetrieben (Doppelpfeil) und von mehreren Traktionsneuromen (Pfeile) durchsetzt.


Keywords: Nervus peronaeusNeurologieSonographie
 
 
Nervus radialis
Abbildung 7: Sonographischer Längsschnitt durch den Nervus radialis (Pfeilspitzen) bei einem Patienten mit Radialisparese nach operativer Versorgung einer Humerusschaftfraktur. Der Nerv wird durch die vom Knochen etwas abstehende Platte (kurze Pfeile) abgedrängt und komprimiert (langer Pfeil).


Keywords: Nervus radialisNeurologieSonographie
 
 
Nervus medianus
Abbildung 8: Sonographischer Querschnitt durch den Nervus medianus bei einem Patienten nach operativer Versorgung einer Schnittverletzung. Während Teile des Nervs im Nahtbereich eine regelrechte Faszikelstruktur aufweisen (Pfeile), findet sich eine partielle Diskontinuität mit einem exzentrischen Anastomosenneurom (Pfeilspitzen).


Keywords: Nervus medianusNeurologieSonographie
 
 
Nervus medianus
Abbildung 9a-b: (a) Sonographischer Längsschnitt durch eine exzentrisch dem Nervus medianus (Pfeile) anliegende Raumforderung (Pfeilspitzen) mit etwas inhomogener feingranulärer Binnentextur. Zusammen mit einer hohen Binnenvaskularisierung im Farbdoppler-Sonogramm (b) typisch für ein Schwannom.


Keywords: Nervus medianusNeurologieSonographie
 
 
Fußsohle
Abbildung 10: Sonographischer Querschnitt durch die Fußsohle bei einem Patienten mit interdigitalen Schmerzen und Verdacht auf ein Morton-Neurom. Darstellung einer rundlichen hypoechogenen Raumforderung (Pfeilspitzen) im 3. Interdigitalraum vereinbar mit einem Morton-Neurom. Im Vergleich dazu normaler 2. Interdigitalraum (Kreis).


Keywords: FußsohleNeurologieSonographie
 
 
Nervus cutaneus femoris lateralis
Abbildung 11a-b: (a) Sonographischer Querschnitt durch den Nervus cutaneus femoris lateralis (Pfeilspitzen) im Seitenvergleich. Der Nerv der linken Seite ist massiv ödematös verdickt. (b) Sonographisch gezielte Cortison-Instillation an den Nerv (lange Pfeile). Kurzer Pfeil = Nadel; Pfeilspitzen = verteiltes Cortison.


Keywords: Nervus cutaneus femoris lateralisNeurologieSonographie
 
 
 
copyright © 2000–2026 Krause & Pachernegg GmbH | Sitemap | Datenschutz | Impressum
 
Werbung