Peer S Ultraschall in der Diagnostik peripherer Nervenläsionen Journal für Neurologie, Neurochirurgie und Psychiatrie 2009; 10 (1): 54-59 Volltext (PDF) Summary Praxisrelevanz Übersicht | ||||||||||||||||
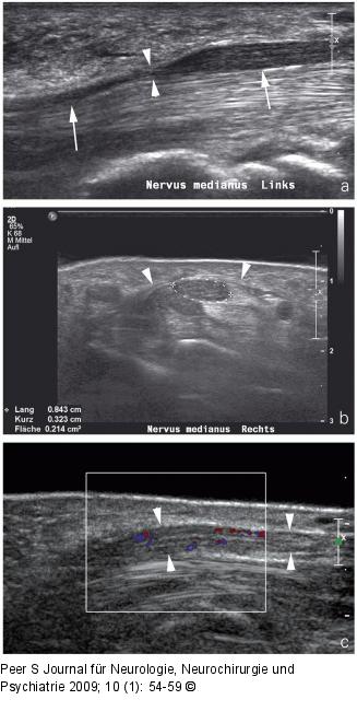
Abbildung 3a-c: Neruvs medianus (a) Sonographischer Längsschnitt durch den Nervus medianus (Pfeile) am distalen Unterarm eines Patienten mit Karpaltunnelsyndrom: Abrupter Kalibersprung (Pfeilspitzen) im Verlauf unter dem Ligamentum carpi transversum. (b) Sonographischer Querschnitt durch den Nervus medianus bei einem weiteren Patienten mit Karpaltunnelsyndrom: Deutliche Auftreibung des Nervs im proximalen Verlauf unter dem Ligamentum carpi transversum (Pfeilspitzen) mit einer Querschnittsfläche von 0,21 cm2 (Normwert bis 12 cm2). (c) Sonographischer Längsschnitt (selber Patient) durch den aufgetriebenen Nervus medianus (Pfeilspitzen) mit Darstellung multipler Farbsignale, hinweisend auf eine reaktive Entzündung. |
Abbildung 3a-c: Neruvs medianus
(a) Sonographischer Längsschnitt durch den Nervus medianus (Pfeile) am distalen Unterarm eines Patienten mit Karpaltunnelsyndrom: Abrupter Kalibersprung (Pfeilspitzen) im Verlauf unter dem Ligamentum carpi transversum. (b) Sonographischer Querschnitt durch den Nervus medianus bei einem weiteren Patienten mit Karpaltunnelsyndrom: Deutliche Auftreibung des Nervs im proximalen Verlauf unter dem Ligamentum carpi transversum (Pfeilspitzen) mit einer Querschnittsfläche von 0,21 cm2 (Normwert bis 12 cm2). (c) Sonographischer Längsschnitt (selber Patient) durch den aufgetriebenen Nervus medianus (Pfeilspitzen) mit Darstellung multipler Farbsignale, hinweisend auf eine reaktive Entzündung. |
