Krause und Pachernegg
Verlag für Medizin und Wirtschaft
Artikel   Bilder   Volltext

Mobile Version
A-  |   A  |   A+
Werbung
 
Abbildungen und Graphiken
Gamillscheg A et al.  
Fallbericht: Fontanzirkulation und pulmonaler Gefäßwiderstand

Journal für Kardiologie - Austrian Journal of Cardiology 2010; 17 (11-12): 419-422

Volltext (PDF)    Abbildungen   


Abbildung
 
Fontanoperation
Abbildung 1: Extrakardiale Fontanoperation bei Trikuspidalatresie.


Keywords: Fontan-OperationKardiologieSchema
 
 
Fontanzirkulation
Abbildung 2: Fontanzirkulation: System- und Lungenkreislauf sind in Serie geschaltet, ohne dazwischen liegendem präpulmonalen Ventrikel. SV: singulärer Ventrikel; Rs: peripherer Gefäßwiderstand; Rp: pulmonaler Gefäßwiderstand


Keywords: DiagrammFontanzirkulationKardiologie
 
 
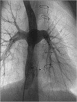
Fontanzirkulation
Abbildung 3: Angiographie des extrakardialen Tunnels mit Abfluss in beide Pulmonalarterien nach interventionellem Schirmverschluss einer Tunnelfenestration


Keywords: AngiographieArteria pulmonalisKardiologie
 
 
Pulmonaler Gefäßwiderstand
Abbildung 4: Postoperativer Anstieg des pulmonalen Gefäßwiderstandes nach Fontanoperation. Rp: pulmonaler Gefäßwiderstand; ZVD: Zentralvenendruck; LCO: Low-Cardiac-Output


Keywords: DiagrammKardiologie
 
 
 
copyright © 2000–2026 Krause & Pachernegg GmbH | Sitemap | Datenschutz | Impressum
 
Werbung