Gamillscheg A, Nagel B, Heinzl B, Köstenberger M, Zobel G, Knez I Fallbericht: Fontanzirkulation und pulmonaler Gefäßwiderstand Journal für Kardiologie - Austrian Journal of Cardiology 2010; 17 (11-12): 419-422 Volltext (PDF) Übersicht | ||||||||
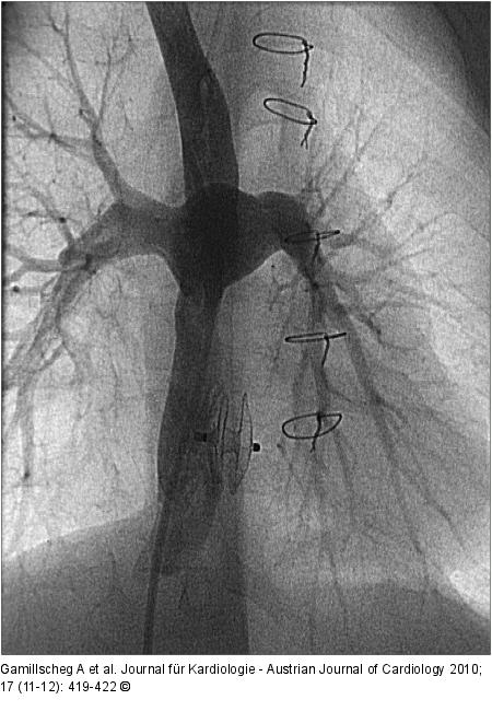
Abbildung 3: Fontanzirkulation Angiographie des extrakardialen Tunnels mit Abfluss in beide Pulmonalarterien nach interventionellem Schirmverschluss einer Tunnelfenestration |
Abbildung 3: Fontanzirkulation
Angiographie des extrakardialen Tunnels mit Abfluss in beide Pulmonalarterien nach interventionellem Schirmverschluss einer Tunnelfenestration |
