Krause und Pachernegg
Verlag für Medizin und Wirtschaft
Artikel   Bilder   Volltext

Mobile Version
A-  |   A  |   A+
Werbung
 
Abbildungen und Graphiken
Nagele W et al.  
Fallbericht: Peliosis hepatis: Seltene fokale Lebererkrankung mit beträchtlicher klinischer Relevanz

Journal für Gastroenterologische und Hepatologische Erkrankungen 2011; 9 (2): 30-34

Volltext (PDF)    Praxisrelevanz    Abbildungen   


Abbildung
 
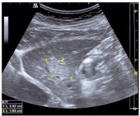
Rundherd der Leber
Abbildung 1: Sonographisch echokomplexer, mäßig echoreicher Rundherd der Leber im Lebersegment 2 (derselbe Herd wie in Abbildung 2 beschrieben).


Keywords: LeberLebersegment 2Rundherd
 
 
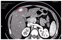
CT des Oberbauchs mit Kontrastmittel
Abbildung 2: CT des Oberbauchs mit Kontrastmittel: In der portalvenösen Phase homogene Kontrastmittelanfärbung eines Pelioseherdes im Lebersegment 2. Ein weiterer, kleiner, homogen angefärbter Herd zeigt sich am Unterrand der Leber.


Keywords: CThomogene KontrastmittelanfärbungKontrastmittelLebersegment 2OberbauchPelioseherdportalvenöse Phase
 
 
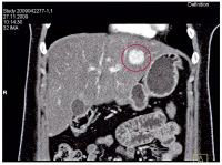
CT des Oberbauchs mit Kontrastmittel
Abbildung 3: CT des Oberbauchs mit Kontrastmittel: In der portalvenösen Phase homogene Kontrastmittelanfärbung eines Pelioseherdes im Lebersegment 4b.


Keywords: CThomogene KontrastmittelfärbungKontrastmittelLebersegment 4bOberbauchPelioseherdportalvenöse Phase
 
 
Histologie aus Leberstanzbiopsien
Abbildung 4: Histologie aus Leberstanzbiopsien. Einzelne zerbrochene, zwischen 2 und 4 mm messende Leberstanzzylinder mit etwas unregelmäßiger Läppchenstruktur. Die Hepatozyten sind verkleinert, zeigen jedoch scharfe Zellgrenzen. Die Zellkerne sind gleichmäßig rund und ohne wesentliche Größenunterschiede. Herdförmig sieht man eine mischtropfige Leberzellverfettung. Die nicht-verfetteten Leberzellen zeigen ein fein granuläres Zytoplasma. Die Sinusoide sind immer wieder stark ausgeweitet. Zum Teil sind sie abgerundet. Histologischer Schnitt mit Retikulinfärbung, 20×. Beurteilung: Leberstanzzylinder mit einer Peliose (medikamentös-toxisch bedingt?).


Keywords: HepatozytenHistologieLeberstanzbiopsieLeberstanzzylindermischtropfige LeberzellverfettungPelioseRetikulinfärbungSinusoideunregelmäßige LäppchenstrukturZytoplasma
 
 
Histologischer Schnitt eines Stanzzylinders
Abbildung 5: Histologischer Schnitt eines Stanzzylinders des Lebersegments 2 (Hämatoxyllin-Eosin-Färbung).


Keywords: histologischer SchnittHämatoxyllin-Eosin-FärbungLebersegment 2Stanzzylinder
 
 
Ultraschall-Abschlussbild
Abbildung 6: Ultraschall-Abschlussbild ohne Hinweis auf fokale Leberveränderungen.


Keywords: Abschlussbildfokale LeberveränderungUltraschall
 
 
 
copyright © 2000–2026 Krause & Pachernegg GmbH | Sitemap | Datenschutz | Impressum
 
Werbung