Nagele W, Dietrich G, Nagele J Fallbericht: Peliosis hepatis: Seltene fokale Lebererkrankung mit beträchtlicher klinischer Relevanz Journal für Gastroenterologische und Hepatologische Erkrankungen 2011; 9 (2): 30-34 Volltext (PDF) Praxisrelevanz Übersicht | ||||||||||||
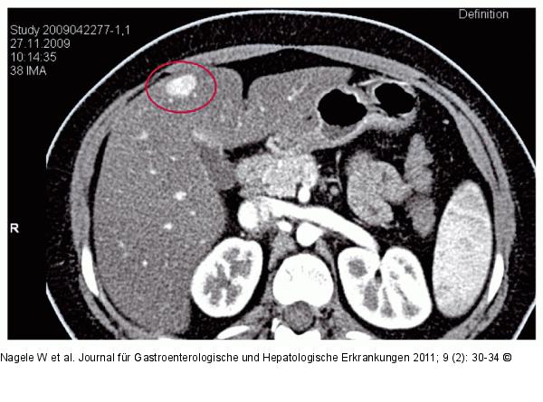
Abbildung 3: CT des Oberbauchs mit Kontrastmittel CT des Oberbauchs mit Kontrastmittel: In der portalvenösen Phase homogene Kontrastmittelanfärbung eines Pelioseherdes im Lebersegment 4b. |
Abbildung 3: CT des Oberbauchs mit Kontrastmittel
CT des Oberbauchs mit Kontrastmittel: In der portalvenösen Phase homogene Kontrastmittelanfärbung eines Pelioseherdes im Lebersegment 4b. |
