Nagele W, Dietrich G, Nagele J Fallbericht: Peliosis hepatis: Seltene fokale Lebererkrankung mit beträchtlicher klinischer Relevanz Journal für Gastroenterologische und Hepatologische Erkrankungen 2011; 9 (2): 30-34 Volltext (PDF) Praxisrelevanz Übersicht | ||||||||||||
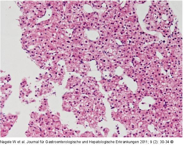
Abbildung 5: Histologischer Schnitt eines Stanzzylinders Histologischer Schnitt eines Stanzzylinders des Lebersegments 2 (Hämatoxyllin-Eosin-Färbung). |
Abbildung 5: Histologischer Schnitt eines Stanzzylinders
Histologischer Schnitt eines Stanzzylinders des Lebersegments 2 (Hämatoxyllin-Eosin-Färbung). |
