Nagele W, Dietrich G, Nagele J Fallbericht: Peliosis hepatis: Seltene fokale Lebererkrankung mit beträchtlicher klinischer Relevanz Journal für Gastroenterologische und Hepatologische Erkrankungen 2011; 9 (2): 30-34 Volltext (PDF) Praxisrelevanz Übersicht | ||||||||||||
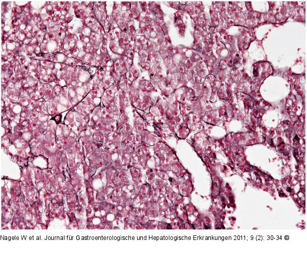
Abbildung 4: Histologie aus Leberstanzbiopsien Histologie aus Leberstanzbiopsien. Einzelne zerbrochene, zwischen 2 und 4 mm messende Leberstanzzylinder mit etwas unregelmäßiger Läppchenstruktur. Die Hepatozyten sind verkleinert, zeigen jedoch scharfe Zellgrenzen. Die Zellkerne sind gleichmäßig rund und ohne wesentliche Größenunterschiede. Herdförmig sieht man eine mischtropfige Leberzellverfettung. Die nicht-verfetteten Leberzellen zeigen ein fein granuläres Zytoplasma. Die Sinusoide sind immer wieder stark ausgeweitet. Zum Teil sind sie abgerundet. Histologischer Schnitt mit Retikulinfärbung, 20×. Beurteilung: Leberstanzzylinder mit einer Peliose (medikamentös-toxisch bedingt?). |
Abbildung 4: Histologie aus Leberstanzbiopsien
Histologie aus Leberstanzbiopsien. Einzelne zerbrochene, zwischen 2 und 4 mm messende Leberstanzzylinder mit etwas unregelmäßiger Läppchenstruktur. Die Hepatozyten sind verkleinert, zeigen jedoch scharfe Zellgrenzen. Die Zellkerne sind gleichmäßig rund und ohne wesentliche Größenunterschiede. Herdförmig sieht man eine mischtropfige Leberzellverfettung. Die nicht-verfetteten Leberzellen zeigen ein fein granuläres Zytoplasma. Die Sinusoide sind immer wieder stark ausgeweitet. Zum Teil sind sie abgerundet. Histologischer Schnitt mit Retikulinfärbung, 20×. Beurteilung: Leberstanzzylinder mit einer Peliose (medikamentös-toxisch bedingt?). |
