Weihs W Echokardiographie aktuell: Linksventrikulärer Thrombus nach Myokardinfarkt Journal für Kardiologie - Austrian Journal of Cardiology 2011; 18 (9-10): 334-336 Volltext (PDF) Übersicht
| ||||||||||||||||
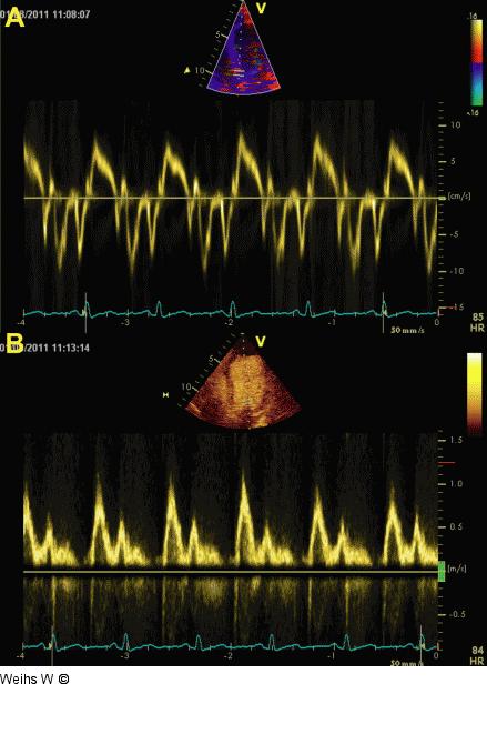
Abbildung 3a-b: TDI Die Geschwindigkeiten des Tissue-Dopplers (TDI), abgeleitet vom septalen Mitralanulus (a) und der transmitrale Fluss (b) ergeben keinen Hinweis auf erhöhte linksventrikuläre Füllungsdrücke. |
Abbildung 3a-b: TDI
Die Geschwindigkeiten des Tissue-Dopplers (TDI), abgeleitet vom septalen Mitralanulus (a) und der transmitrale Fluss (b) ergeben keinen Hinweis auf erhöhte linksventrikuläre Füllungsdrücke. |
