Weihs W Echokardiographie aktuell: Linksventrikulärer Thrombus nach Myokardinfarkt Journal für Kardiologie - Austrian Journal of Cardiology 2011; 18 (9-10): 334-336 Volltext (PDF) Übersicht
| ||||||||||||||
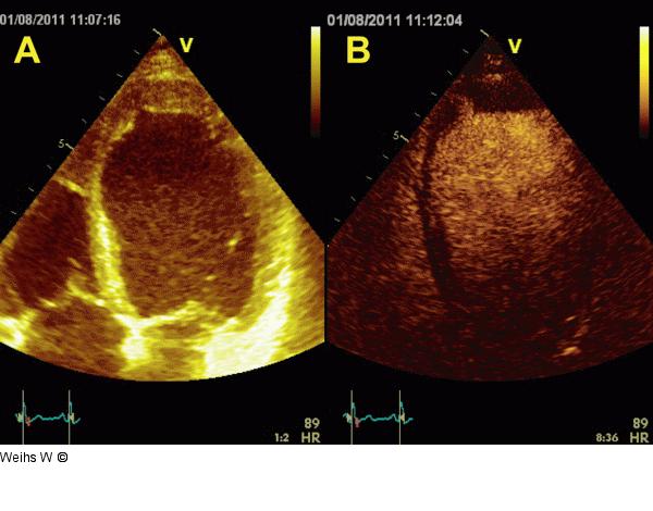
Abbildung 4a-b: Vierkammerblick Apikaler Vierkammerblick ohne (a) und mit (b) Kontrastmittel. Darstellung eines apikalen wandständigen Thrombus. Es liegt eine A- bis Dyskinesie der apikalen Segmente und eine Akinesie des mittleren anteroseptalen Segmentes vor. |
Film starten
Abbildung 4a-b: Vierkammerblick
Apikaler Vierkammerblick ohne (a) und mit (b) Kontrastmittel. Darstellung eines apikalen wandständigen Thrombus. Es liegt eine A- bis Dyskinesie der apikalen Segmente und eine Akinesie des mittleren anteroseptalen Segmentes vor. |
