Schweppe KW, Rabe T, Langhardt M, Woziwodzki J, Petraglia F, Kiesel L Endometriosis – Pathogenesis, Diagnosis, and Therapeutic Options for Clinical and Ambulatory Care Journal für Reproduktionsmedizin und Endokrinologie - Journal of Reproductive Medicine and Endocrinology 2013; 10 (Sonderheft 1): 102-119 Volltext (PDF) Summary Übersicht | ||||||||||||||||
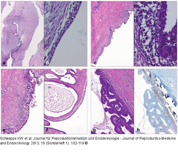
Abbildung 2a-h: Ovarian endometriosis Cystic ovarian endometriosis with varying activity – ranging from inactive, resting to complex hyperplasia. (a): Cyst wall with clustered, dilated glands (HE, 12,5 ×); (b): Upon larger magnification, the same sample shows the resting epithelium of an endometrioma (HE, 200 ×); (c): Cyst wall with actively proliferating, epithelial lining (HE, 12,5 ×); (d): The same sample in a larger magnification shows the highly prismatic, proliferative epithelium with secretion phenomena (HE, 200 ×); (e): Lining of the cyst wall in ovarian endometriosis with pronounced proliferation (HE, 40 ×); (f): The proliferative activity with areas of simple hyperplasia can also be seen in the cystically dilated glands (HE, 40 ×); (g): Complex hyperplasia of the epithelial lining in cystic ovarian endometriosis (HE, 40 ×); (h): The same sample with CD stain (CD-10, 40 ×). |
Abbildung 2a-h: Ovarian endometriosis
Cystic ovarian endometriosis with varying activity – ranging from inactive, resting to complex hyperplasia. (a): Cyst wall with clustered, dilated glands (HE, 12,5 ×); (b): Upon larger magnification, the same sample shows the resting epithelium of an endometrioma (HE, 200 ×); (c): Cyst wall with actively proliferating, epithelial lining (HE, 12,5 ×); (d): The same sample in a larger magnification shows the highly prismatic, proliferative epithelium with secretion phenomena (HE, 200 ×); (e): Lining of the cyst wall in ovarian endometriosis with pronounced proliferation (HE, 40 ×); (f): The proliferative activity with areas of simple hyperplasia can also be seen in the cystically dilated glands (HE, 40 ×); (g): Complex hyperplasia of the epithelial lining in cystic ovarian endometriosis (HE, 40 ×); (h): The same sample with CD stain (CD-10, 40 ×). |
