Krause und Pachernegg
Verlag für Medizin und Wirtschaft
Artikel   Bilder   Volltext

Mobile Version
A-  |   A  |   A+
Werbung
 
Abbildungen und Graphiken
Schweppe KW et al.  
Endometriosis – Pathogenesis, Diagnosis, and Therapeutic Options for Clinical and Ambulatory Care

Journal für Reproduktionsmedizin und Endokrinologie - Journal of Reproductive Medicine and Endocrinology 2013; 10 (Sonderheft 1): 102-119

Volltext (PDF)    Summary    Abbildungen   


Abbildung
 
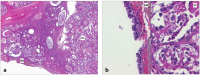
Adenocarcinoma
Abbildung 1a-b: (a): Small-cell adenocarcinoma (CC) in the cyst wall of ovarian endometriosis [EM] (HE stain, magnification 12.5 ×); (b): Highly prismatic epithelium lining the endometrial cyst of the ovary [EM]; next to it in the same ovary, a clear-cell adenomcarcinoma [CC] (HE stain, magnification 200 ×)


Keywords: adenocarcinomaclear-cellovarysmall-cell
 
 
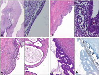
Ovarian endometriosis
Abbildung 2a-h: Cystic ovarian endometriosis with varying activity – ranging from inactive, resting to complex hyperplasia. (a): Cyst wall with clustered, dilated glands (HE, 12,5 ×); (b): Upon larger magnification, the same sample shows the resting epithelium of an endometrioma (HE, 200 ×); (c): Cyst wall with actively proliferating, epithelial lining (HE, 12,5 ×); (d): The same sample in a larger magnification shows the highly prismatic, proliferative epithelium with secretion phenomena (HE, 200 ×); (e): Lining of the cyst wall in ovarian endometriosis with pronounced proliferation (HE, 40 ×); (f): The proliferative activity with areas of simple hyperplasia can also be seen in the cystically dilated glands (HE, 40 ×); (g): Complex hyperplasia of the epithelial lining in cystic ovarian endometriosis (HE, 40 ×); (h): The same sample with CD stain (CD-10, 40 ×).


Keywords: cyst wallendometriosis
 
 
Practical Recommendation
Abbildung 3: Practical approach to work up dysmenorrhea and cyclic abdominal pain.


Keywords: abdominal paindysmenorrheaLaparoscopy
 
 
Chronic abdominal pain
Abbildung 4: Share of endometriosis as a cause of chronic abdominal pain. Mod. from [34].


Keywords: abdominal painendometriosis
 
 
Endoscopic appearance of endometriosis
Abbildung 5a-d: Endoscopic appearance of endometriosis. (a): fresh peritoneal endometrial lesion on the pelvic peritoneum with distinctly visible vessels (Rimbach/Saarlouis); (b): Older, nodular peritoneal endometriosis in the area of the lig. sacrouterinum (Rimbach/Saarlouis); (c): Endometriosis in the area of the tube wall with peritubal adhesions (Rimbach/Saarlouis); (d): Conglomerate of appendix and tube in endometriosis: The infundibulum and the inflamed appendix stick together, mixed with vesicular, partially bloody endometriosis (Endo).


Keywords: endometriosismacroscopic manifestation
 
 
Endocrinically active endometriosis
Abbildung 6: Microscopic image of endocrinically active endometriosis of the appendix (E = intramural endometrial focus; M = mucous membrane of the appendix). (a): highly differentiated, proliferative endometrial foci (HE stain, 200 ×); (b): highly positive estrogen receptors (ERp, brown stain, 200 l).


Keywords: appendicitisendometriosissalpingitis
 
 
Peritoneal endometriosis
Abbildung 7a-f: Various types of peritoneal endometriosis. (a): vesicular form (V); (b): nodular (N) und plaque-type growth (Pl); (c): flat, fibrotic form (F); (d): clear vesicles, no bleeding (B); (e): blood-containing vesicles with flame-shaped inflammation (E); (f): brown, grey residual blood with delicate adhesions (A).


Keywords: peritoneal endometriosistypes
 
 
Estrogen metabolism in endometrial lesions
Abbildung 8: Estrogen metabolism in endometrial lesions: Defective 17-beta-steroid-dehydrogenase type 2. This means that the bioactive estradiol cannot be converted into the less active estron. In the normal endometrium, progesterone activates this 17-beta-HSD Type 2 and has an antiproliferative effect; this mechanism is disrupted in endometrial lesions (so-called progesterone block).


Keywords: endometrial lesionestrogen metabolism
 
 
Vicious circle in the endometrial focus
Abbildung 9: Vicious circle in the endometrial focus maintains the proliferation and inflammatory reaction: (1) local estrogen is produced by aromatase activation; (2) estrogens stimulate prostaglandin synthesis via the activation of the COX-2 enzyme; (3) Prostaglandin E-2 again stimulates aromatase. Whether the aromatase is activated in the endometrial lesion itself or in the surrounding zissue (fat, peritoneum) is controversial.


Keywords: endometrial lesionmetabolismProstaglandin
 
 
Endometrial cyst
Abbildung 10a-d: Endometrial cyst in the area of the ovary. (a): Left-sided endometrial cyst of the ovary with adhesions and concomitant reactive inflammation; (b): Ultrasound view of an endometrial cyst: homogeneous, low internal echo (bleeding) and thickened cyst wall; cap-shaped residual ovary on right picture margin (Elsässer, Heidelberg); (c): Extensive, endocrinically inactive endometrial cyst of the ovary with bleeding (HE, 25,5 ×); (d): Florid, endocrinically active endometrial cyst of the ovary within the hyperplastic cyst wall (HE, 40 ×).


Keywords: endometrial cystovary
 
 
Deeply infiltrating endometriosis
Abbildung 11a-b: Deeply infiltrating endometriosis: surgical site. (a): Fibrotic tumour infiltrating the rectum; (b): Resection with good safety margin, saving the posterior wall of the rectum and the mesorectum.


Keywords: fibrotic tumourinfiltrating endometriosis
 
 
Deeply infiltrating endometriosis
Abbildung 12a-b: Deeply infiltrating endometriosis: macroscopic view of the resected part of the rectum (a) and microscopic image (b), showing that even in such an extensive case, the mucosa of the rectum can be intact and coloscopy cannot be used to confirm the diagnosis.


Keywords: infiltrating endometriosis
 
 
Adenomyosis uteri interna
Abbildung 13a-d: Adenomyosis uteri interna. (a): In the sonographic cross-section, the inhomogeneous appearance of the myometrium can be seen with a poorly delineated area of adenomyosis (unlike myomas); (b): Doppler sonography shows the increased perfusion in the area of adenomyosis (US images: Elsässer, Heidelberg); (c): The endometrial focus visible within the uterine muscles (HE, 12,5 ×); (d): With a higher magnification, the glands and the cytogenic stroma can be clearly discerned (HE, 40 ×)


Keywords: adenomyosisuteri interna
 
 
Endoscopically and histologically confirmed endometriosis
Abbildung 14: Combined treatment principle for endoscopically and histologically confirmed endometriosis, which needs to be adapted to the individual case.


Keywords: combined treatmentendometriosis
 
 
Biological activity of various progestins
Abbildung 15: Biological activity of various progestins based on the transformation dose and the dosages used to treat endometriosis.


Keywords: endometriosisprogestintherapy
 
 
Progestins for endometriosis
Abbildung 16: Possible mechanisms of action of progestins for endometriosis.


Keywords: endometriosisprogestintherapy
 
 
Mechanisms of action of GnRH agonists
Abbildung 17: Mechanisms of action of GnRH agonists: By desensitising the pituitary, a pseudomenopausal situation is created.


Keywords: GnRH
 
 
Results of various long-term treatments
Abbildung 18: Results of various long-term treatments for recurrent endometriosis. Mod. from [84].


Keywords: GnRHoral contraceptivesprogestin
 
 
General principle of therapy for recurrent endometriosis
Abbildung 19: General principle of therapy for recurrent endometriosis. An individual therapy plan must be discussed and defined with each patient.


Keywords: endometriosistherapy
 
 
 
copyright © 2000–2026 Krause & Pachernegg GmbH | Sitemap | Datenschutz | Impressum
 
Werbung