Schima W, Eller R, Grablowitz V Aktuelle Bilder: Mukozele der Appendix Journal für Gastroenterologische und Hepatologische Erkrankungen 2013; 11 (3): 24-25 Volltext (PDF) Übersicht
| ||||||||
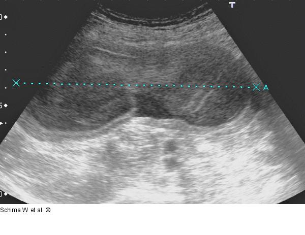
Abbildung 1: Sonographie Die Sonographie zeigt eine große, tubuläre zystoide Raumforderung im rechten Unterbauch. Die Raumforderung ist dickwandig, der Inhalt ist nicht echofrei, wie bei seröser Flüssigkeit einer simplen Zyste zu erwarten wäre. |
Abbildung 1: Sonographie
Die Sonographie zeigt eine große, tubuläre zystoide Raumforderung im rechten Unterbauch. Die Raumforderung ist dickwandig, der Inhalt ist nicht echofrei, wie bei seröser Flüssigkeit einer simplen Zyste zu erwarten wäre. |
