Schima W, Eller R, Grablowitz V Aktuelle Bilder: Mukozele der Appendix Journal für Gastroenterologische und Hepatologische Erkrankungen 2013; 11 (3): 24-25 Volltext (PDF) Übersicht
| ||||||||
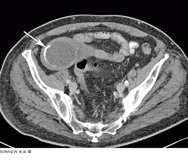
Abbildung 2a: MDCT Die MDCT (axiales Bild) zeigt die dickwandige zystische, zum Teil verkalkte Raumforderung im rechten Unterbauch (Pfeil). |
Abbildung 2a: MDCT
Die MDCT (axiales Bild) zeigt die dickwandige zystische, zum Teil verkalkte Raumforderung im rechten Unterbauch (Pfeil). |
