Schima W, Eller R, Grablowitz V Aktuelle Bilder: Mukozele der Appendix Journal für Gastroenterologische und Hepatologische Erkrankungen 2013; 11 (3): 24-25 Volltext (PDF) Übersicht
| ||||||||
Abbildung 2b: MDCT- 3D-Rekonstruktion Die 3D-Rekonstruktion der MDCT (Curved Planar Reconstruction in parakoronaler Ebene) zeigt anschaulich die gesamte Ausdehnung der tubulären Raumforderung (Pfeile) sowie die Beziehung zum Zökalpol (Stern). Es lässt sich lediglich der liquide (muzinreiche) Inhalt nachweisen, nicht jedoch ein solider Tumor bzw. eine Infiltration in Nachbarorgane. Es findet sich auch kein Hinweis auf eine Ruptur mit Tumorzellverschleppung in die freie Bauchhöhle im Sinne eines Pseudomyxoma peritonei. Am unteren Bildrand finden sich Artefakte aufgrund einer implantierten Hüftprothese rechts. |
Film starten
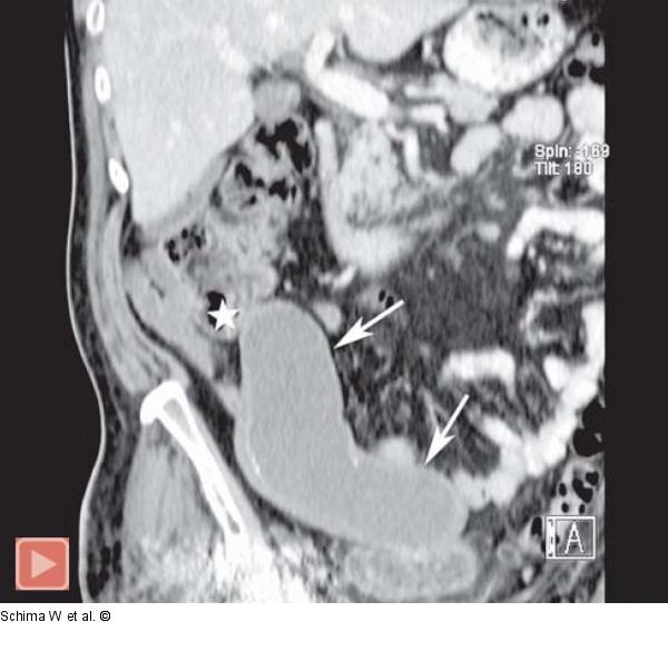
Abbildung 2b: MDCT- 3D-Rekonstruktion
Die 3D-Rekonstruktion der MDCT (Curved Planar Reconstruction in parakoronaler Ebene) zeigt anschaulich die gesamte Ausdehnung der tubulären Raumforderung (Pfeile) sowie die Beziehung zum Zökalpol (Stern). Es lässt sich lediglich der liquide (muzinreiche) Inhalt nachweisen, nicht jedoch ein solider Tumor bzw. eine Infiltration in Nachbarorgane. Es findet sich auch kein Hinweis auf eine Ruptur mit Tumorzellverschleppung in die freie Bauchhöhle im Sinne eines Pseudomyxoma peritonei. Am unteren Bildrand finden sich Artefakte aufgrund einer implantierten Hüftprothese rechts. |
