Weihs W, Anelli-Monti B Echokardiographie aktuell: Aorteninsuffizienz – ein quantitativer Zugang Journal für Kardiologie - Austrian Journal of Cardiology 2013; 20 (9-10): 310-312 Volltext (PDF) Übersicht
| ||||||||||||||
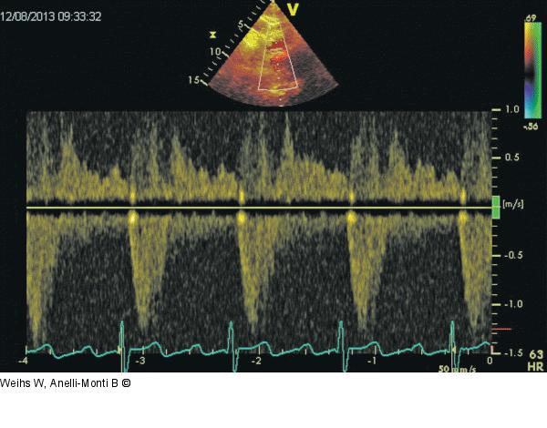
Abbildung 4: Holodiastolischer Rückfluss Der holodiastolische Rückfluss in der Aorta descendens spricht für eine hochgradige Aorteninsuffizienz. Darstellung von suprasternal. |
Abbildung 4: Holodiastolischer Rückfluss
Der holodiastolische Rückfluss in der Aorta descendens spricht für eine hochgradige Aorteninsuffizienz. Darstellung von suprasternal. |
