Schima W, Haunold I, Eisenhuber-Stadler E, Klaus A Aktuelle Bilder: Dünndarmileus durch einen Erbsen-Bezoar Journal für Gastroenterologische und Hepatologische Erkrankungen 2014; 12 (1): 22-23 Volltext (PDF) Übersicht
| ||||||||
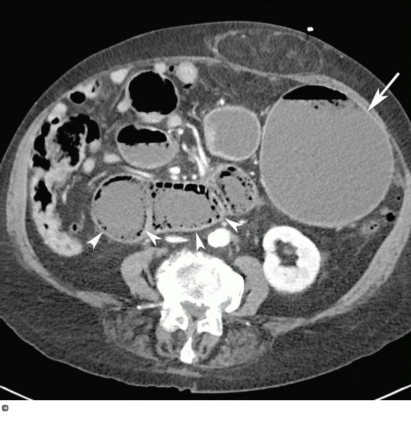
Abbildung 1a: Dilatation Die MDCT in axialer Schicht zeigt eine ausgeprägte Dilatation von Magen (Pfeil) und proximalen Dünndarmschlingen. Diese zeigen auch eine ausgeprägte Pneumatose (Pfeilspitzen). |
Abbildung 1a: Dilatation
Die MDCT in axialer Schicht zeigt eine ausgeprägte Dilatation von Magen (Pfeil) und proximalen Dünndarmschlingen. Diese zeigen auch eine ausgeprägte Pneumatose (Pfeilspitzen). |
