Schima W, Haunold I, Eisenhuber-Stadler E, Klaus A Aktuelle Bilder: Dünndarmileus durch einen Erbsen-Bezoar Journal für Gastroenterologische und Hepatologische Erkrankungen 2014; 12 (1): 22-23 Volltext (PDF) Übersicht
| ||||||||
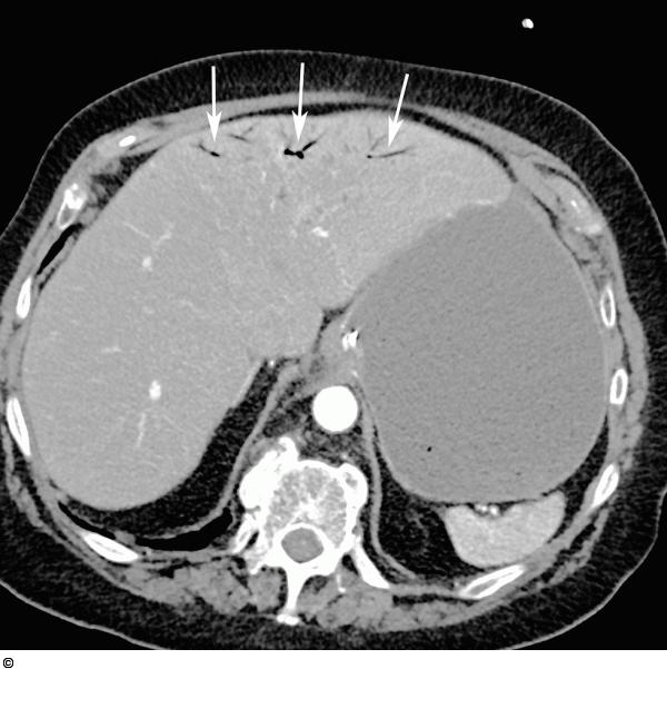
Abbildung 2: Intrahepatische Pfortaderäste Das axiale MDCT-Bild zeigt reichlich Luft in den intrahepatischen Pfortaderästen (Pfeile) als Folge der intestinalen Pneumatose. |
Abbildung 2: Intrahepatische Pfortaderäste
Das axiale MDCT-Bild zeigt reichlich Luft in den intrahepatischen Pfortaderästen (Pfeile) als Folge der intestinalen Pneumatose. |
