Schima W, Haunold I, Eisenhuber-Stadler E, Klaus A Aktuelle Bilder: Dünndarmileus durch einen Erbsen-Bezoar Journal für Gastroenterologische und Hepatologische Erkrankungen 2014; 12 (1): 22-23 Volltext (PDF) Übersicht
| ||||||||
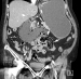
Filmsequenz zu Abbildung 1b: Dünndarmschlinge Die 3D-Rekonstruktion der MDCT zeigt Bezoare in einer Jejunumschlinge (Pfeile) mit Dilatation der proximalen Dünndarmschlingen und des Magens. Der Kalibersprung zum nachgeschalteten kollabierten Dünndarm ist besonders augenfällig. In der Leber findet sich Gas im Pfortadersystem (Pfeile). |
Filmsequenz zu Abbildung 1b: Dünndarmschlinge Die 3D-Rekonstruktion der MDCT zeigt Bezoare in einer Jejunumschlinge (Pfeile) mit Dilatation der proximalen Dünndarmschlingen und des Magens. Der Kalibersprung zum nachgeschalteten kollabierten Dünndarm ist besonders augenfällig. In der Leber findet sich Gas im Pfortadersystem (Pfeile). |
