Schima W, Haunold I, Eisenhuber-Stadler E, Klaus A Aktuelle Bilder: Dünndarmileus durch einen Erbsen-Bezoar Journal für Gastroenterologische und Hepatologische Erkrankungen 2014; 12 (1): 22-23 Volltext (PDF) Übersicht
| ||||||||
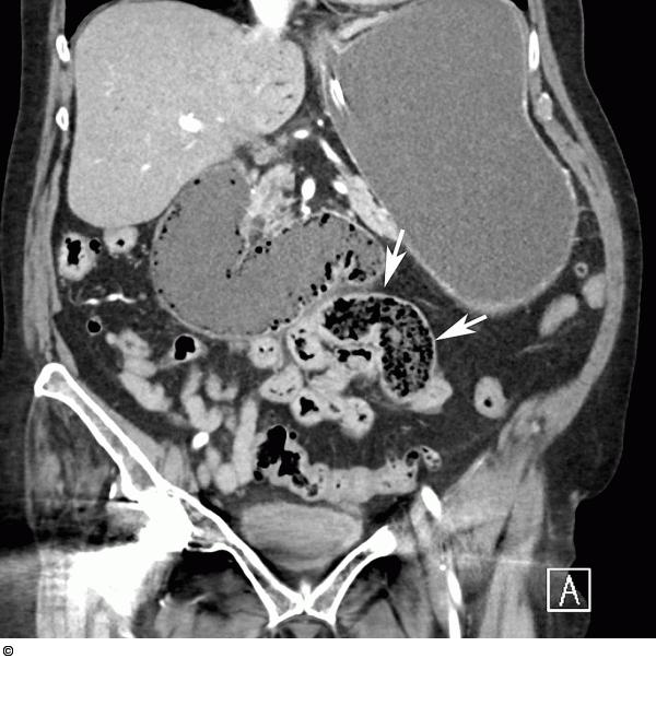
Abbildung 1b: Dünndarmschlinge Auffällig ist in einer Dünndarmschlinge eine tubuläre Struktur, die solide imponiert (Pfeile). Die distal davon gelegenen Dünndarmschlingen sind kollabiert. |
Film starten
Abbildung 1b: Dünndarmschlinge
Auffällig ist in einer Dünndarmschlinge eine tubuläre Struktur, die solide imponiert (Pfeile). Die distal davon gelegenen Dünndarmschlingen sind kollabiert. |
