Schima W, Eisenhuber-Stadler E, Heyduk M, Machat S, Wimberger P, Grablowitz V Aktuelle Bilder: Erstmanifestation eines perforierten Dünndarm-GIST als Peritonitis Journal für Gastroenterologische und Hepatologische Erkrankungen 2014; 12 (4): 26-27 Volltext (PDF) Übersicht
| ||||||
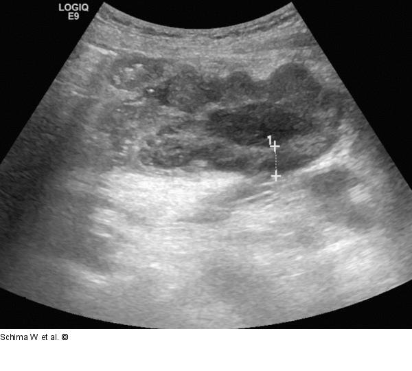
Abbildung 1: Tumor Die Sonographie zeigt im Unterbauch einen zentral liquid-nekrotisch imponierenden Tumor. Eine genaue Zuordnung zu einem Darmsegment ist nicht möglich. |
Abbildung 1: Tumor
Die Sonographie zeigt im Unterbauch einen zentral liquid-nekrotisch imponierenden Tumor. Eine genaue Zuordnung zu einem Darmsegment ist nicht möglich. |
