Schima W, Eisenhuber-Stadler E, Heyduk M, Machat S, Wimberger P, Grablowitz V Aktuelle Bilder: Erstmanifestation eines perforierten Dünndarm-GIST als Peritonitis Journal für Gastroenterologische und Hepatologische Erkrankungen 2014; 12 (4): 26-27 Volltext (PDF) Übersicht
| ||||||
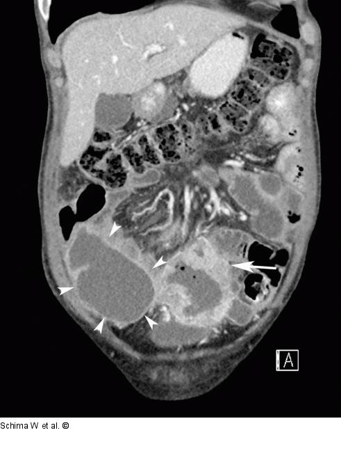
Abbildung 2b: MDCT - 3D Die koronale 3D-Rekonstruktion der MDCT zeigt anschaulich, dass der Tumor offenbar von einer Dünndarmschlinge ausgeht (Pfeil). Im rechten Unterbauch angrenzend an den Tumor findet sich eine große Abszess-suspekte Retention (Pfeilspitzen). |
Film starten
Abbildung 2b: MDCT - 3D
Die koronale 3D-Rekonstruktion der MDCT zeigt anschaulich, dass der Tumor offenbar von einer Dünndarmschlinge ausgeht (Pfeil). Im rechten Unterbauch angrenzend an den Tumor findet sich eine große Abszess-suspekte Retention (Pfeilspitzen). |
