Schima W, Eisenhuber-Stadler E, Heyduk M, Machat S, Wimberger P, Grablowitz V Aktuelle Bilder: Erstmanifestation eines perforierten Dünndarm-GIST als Peritonitis Journal für Gastroenterologische und Hepatologische Erkrankungen 2014; 12 (4): 26-27 Volltext (PDF) Übersicht
| ||||||
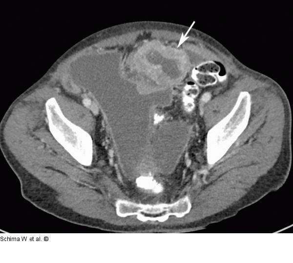
Abbildung 2a: MDCT Die axiale KM-verstärkte MDCT zeigt den ausgedehnten hypervaskularisierten, jedoch zentral nekrotischen Tumor (Pfeil), der mit Dünndarmschlingen verbacken ist. Differenzialdiagnostisch kommt aufgrund der ausgeprägten Vaskularisation das Vorliegen eines neuroendokrinen Karzinoms oder eines GIST infrage. |
Abbildung 2a: MDCT
Die axiale KM-verstärkte MDCT zeigt den ausgedehnten hypervaskularisierten, jedoch zentral nekrotischen Tumor (Pfeil), der mit Dünndarmschlingen verbacken ist. Differenzialdiagnostisch kommt aufgrund der ausgeprägten Vaskularisation das Vorliegen eines neuroendokrinen Karzinoms oder eines GIST infrage. |
