Dobnig H Der Schilddrüsenfall: Alkoholablation zystischer Schilddrüsenknoten Journal für Klinische Endokrinologie und Stoffwechsel - Austrian Journal of Clinical Endocrinology and Metabolism 2014; 7 (4): 136-140 Volltext (PDF) Übersicht | ||||||||||||||||||
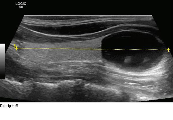
Abbildung 5: Alkoholablation - Schilddrüse Patient mit einer einkammrigen Schilddrüsenzyste, im Ultraschall dünnwandiger, unauffälliger Zystenbalg (Sagittalebene). |
Abbildung 5: Alkoholablation - Schilddrüse
Patient mit einer einkammrigen Schilddrüsenzyste, im Ultraschall dünnwandiger, unauffälliger Zystenbalg (Sagittalebene). |
