Dobnig H Der Schilddrüsenfall: Alkoholablation zystischer Schilddrüsenknoten Journal für Klinische Endokrinologie und Stoffwechsel - Austrian Journal of Clinical Endocrinology and Metabolism 2014; 7 (4): 136-140 Volltext (PDF) Übersicht | ||||||||||||||||||
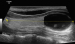
Abbildung 8a-c: Alkoholablation - Schilddrüse (a): Alkohol wird instilliert, es bilden sich kleine echoreiche, wolkige Gebilde, die nach Beendigung der Instillation (b) wieder aufklaren. (c) Zyste nach vollständiger Aspiration des Alkohols. Pfeile zeigen zur Nadel. |
Abbildung 8a-c: Alkoholablation - Schilddrüse
(a): Alkohol wird instilliert, es bilden sich kleine echoreiche, wolkige Gebilde, die nach Beendigung der Instillation (b) wieder aufklaren. (c) Zyste nach vollständiger Aspiration des Alkohols. Pfeile zeigen zur Nadel. |
