Frick AE, Müller MR Biphasisches Synovialsarkom der Pleura 19 Jahre nach Diagnose eines malignen Schwannoms – ein Fallbericht Tumorboard 2014; 3 (2): 8-12 Volltext (PDF) Übersicht | ||||||||||
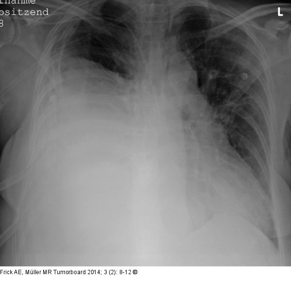
Abbildung 1: Biphasisches Synovialsarkom Präoperative Röntgenübersichtsaufnahme des Thorax: subtotale Verschattung des rechten Hemithorax. |
Abbildung 1: Biphasisches Synovialsarkom
Präoperative Röntgenübersichtsaufnahme des Thorax: subtotale Verschattung des rechten Hemithorax. |
