Frick AE, Müller MR Biphasisches Synovialsarkom der Pleura 19 Jahre nach Diagnose eines malignen Schwannoms – ein Fallbericht Tumorboard 2014; 3 (2): 8-12 Volltext (PDF) Übersicht | ||||||||||
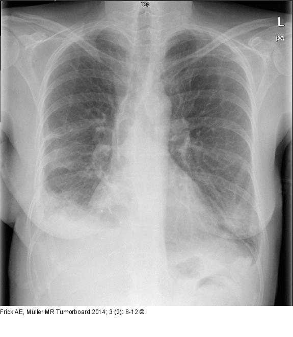
Abbildung 4b: Biphasisches Synovialsarkom Postoperative Röntgenübersicht im Stehen: Ausgedehnte Lunge beidseits mit kleinem Randwinkelerguss rechts |
Abbildung 4b: Biphasisches Synovialsarkom
Postoperative Röntgenübersicht im Stehen: Ausgedehnte Lunge beidseits mit kleinem Randwinkelerguss rechts |
