Frick AE, Müller MR Biphasisches Synovialsarkom der Pleura 19 Jahre nach Diagnose eines malignen Schwannoms – ein Fallbericht Tumorboard 2014; 3 (2): 8-12 Volltext (PDF) Übersicht | ||||||||||
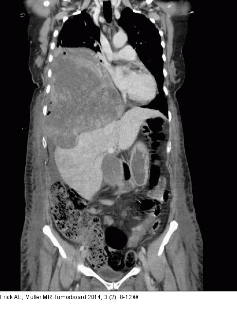
Abbildung 2: Biphasisches Synovialsarkom Koronare Rekonstruktion der CT mit Kontrastmittel: Deutliche Abgrenzbarkeit einer ausgedehnten rechtsthorakalen Raumforderung mit Mediastinalverlagerung nach links und Kompression des rechten Leberlappens. Der Tumor ist heterogen und scheint großteils Koagel bzw. ein Hämatom zu beinhalten. Tumorsuspekte kontrastmittelaufnehmende Anteile der Raumforderung liegen vor allem ventrobasal auf Höhe des 4. bis 7. Interkostalraumes vor. Eine Vorwölbung eines Tumoranteils mit Kompression der Leber ist sichtbar, aber es zeigt sich kein sicherer Hinweis auf eine Kapselinfiltration der Leber. Großteils vorhandene Fetttrennungslinie zum Perikard/Cor, wobei an den ventrobasalen Anteil auf Höhe des Perikardergusses eine eindeutige Abgrenzbarkeit nicht gegeben ist. Arrosion der 11. Rippe rechts dorsal. |
Abbildung 2: Biphasisches Synovialsarkom
Koronare Rekonstruktion der CT mit Kontrastmittel: Deutliche Abgrenzbarkeit einer ausgedehnten rechtsthorakalen Raumforderung mit Mediastinalverlagerung nach links und Kompression des rechten Leberlappens. Der Tumor ist heterogen und scheint großteils Koagel bzw. ein Hämatom zu beinhalten. Tumorsuspekte kontrastmittelaufnehmende Anteile der Raumforderung liegen vor allem ventrobasal auf Höhe des 4. bis 7. Interkostalraumes vor. Eine Vorwölbung eines Tumoranteils mit Kompression der Leber ist sichtbar, aber es zeigt sich kein sicherer Hinweis auf eine Kapselinfiltration der Leber. Großteils vorhandene Fetttrennungslinie zum Perikard/Cor, wobei an den ventrobasalen Anteil auf Höhe des Perikardergusses eine eindeutige Abgrenzbarkeit nicht gegeben ist. Arrosion der 11. Rippe rechts dorsal. |
