Frick AE, Müller MR Biphasisches Synovialsarkom der Pleura 19 Jahre nach Diagnose eines malignen Schwannoms – ein Fallbericht Tumorboard 2014; 3 (2): 8-12 Volltext (PDF) Übersicht | ||||||||||
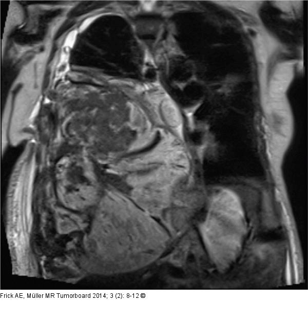
Abbildung 3: Biphasisches Synovialsarkom Koronare Schnittbildgebung mittels MRT mit KM 1,5 Tesla T1- und T2-gewichtet: Großer rechtsthorakaler Tumor mit Einwachsen des Tumors in das Diaphragma und einem Tumorzapfen in den rechten Leberlappen (Infiltration?). Ein direkter Kontakt zur 11. Rippe rechts ist sichtbar, wobei diese Region in der MRT hyperintens signalalteriert ist, im Sinne einer Knocheninfiltration. Deutliches Mediastinal- Shifting nach links. |
Abbildung 3: Biphasisches Synovialsarkom
Koronare Schnittbildgebung mittels MRT mit KM 1,5 Tesla T1- und T2-gewichtet: Großer rechtsthorakaler Tumor mit Einwachsen des Tumors in das Diaphragma und einem Tumorzapfen in den rechten Leberlappen (Infiltration?). Ein direkter Kontakt zur 11. Rippe rechts ist sichtbar, wobei diese Region in der MRT hyperintens signalalteriert ist, im Sinne einer Knocheninfiltration. Deutliches Mediastinal- Shifting nach links. |
