Schima W, Stübler J, Klaus A Aktuelle Bilder: Innere Hernie nach laparoskopischer Magenbypass-Operation Journal für Gastroenterologische und Hepatologische Erkrankungen 2016; 14 (1): 22-23 Volltext (PDF) Übersicht
| ||||||||||
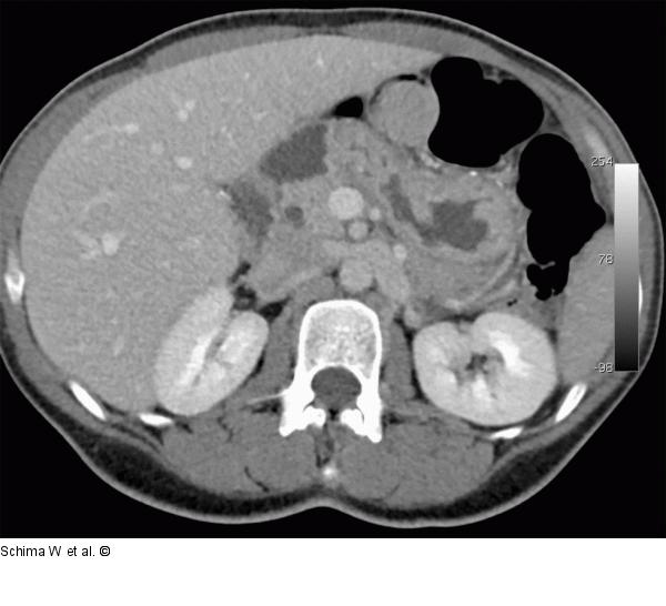
Abbildung 3: MDCT Die MDCT zeigt die Rotation der Mesenterialgefäße (Pfeile), die Stenosierung der V. mes. sup. (Pfeilspitzen) und die abnorme Position der Fußpunktanastomose im medianen Mittelbauch (erkennbar durch das dichte Nahtmaterial), typisch für das Vorliegen einer inneren Hernie. |
Film starten
Abbildung 3: MDCT
Die MDCT zeigt die Rotation der Mesenterialgefäße (Pfeile), die Stenosierung der V. mes. sup. (Pfeilspitzen) und die abnorme Position der Fußpunktanastomose im medianen Mittelbauch (erkennbar durch das dichte Nahtmaterial), typisch für das Vorliegen einer inneren Hernie. |
