Schima W, Stübler J, Klaus A Aktuelle Bilder: Innere Hernie nach laparoskopischer Magenbypass-Operation Journal für Gastroenterologische und Hepatologische Erkrankungen 2016; 14 (1): 22-23 Volltext (PDF) Übersicht
| ||||||||||
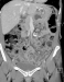
Abbildung 1b-c: 3D-Rekonstruktion Die 3D-Rekonstruktionen in coronaler Ebene zeigen (B) die pilzförmige Konfiguration der hernierten Dünndarmschlingen (Pfeile) und (C) die abnorme Position der Fußpunktanastomose im medianen Mittelbauch (Pfeilspitzen). |
Abbildung 1b-c: 3D-Rekonstruktion
Die 3D-Rekonstruktionen in coronaler Ebene zeigen (B) die pilzförmige Konfiguration der hernierten Dünndarmschlingen (Pfeile) und (C) die abnorme Position der Fußpunktanastomose im medianen Mittelbauch (Pfeilspitzen). |
