Schima W, Stübler J, Klaus A Aktuelle Bilder: Innere Hernie nach laparoskopischer Magenbypass-Operation Journal für Gastroenterologische und Hepatologische Erkrankungen 2016; 14 (1): 22-23 Volltext (PDF) Übersicht
| ||||||||||
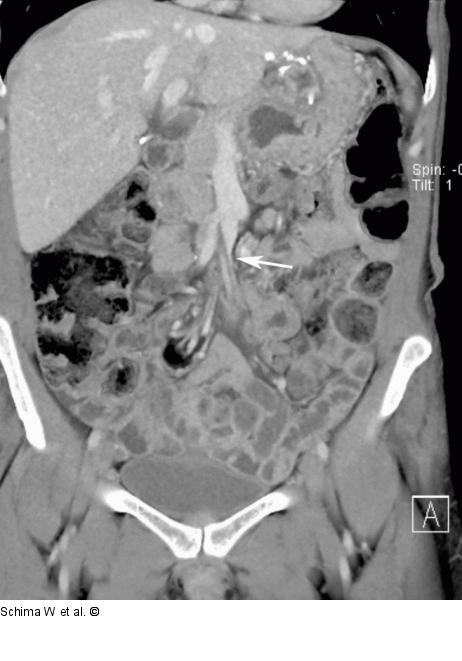
Abbildung 1d: MDCT Die V. mes. sup ist aufgrund der Torquierung des Mesenteriums mit Herniation von Dünndarmschlingen deutlich stenosiert (Pfeil |
Abbildung 1d: MDCT
Die V. mes. sup ist aufgrund der Torquierung des Mesenteriums mit Herniation von Dünndarmschlingen deutlich stenosiert (Pfeil |
