Schima W, Stübler J, Klaus A Aktuelle Bilder: Innere Hernie nach laparoskopischer Magenbypass-Operation Journal für Gastroenterologische und Hepatologische Erkrankungen 2016; 14 (1): 22-23 Volltext (PDF) Übersicht
| ||||||||||
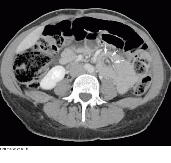
Abbildung 1a: MDCT Die Kontrastmittel-verstärkte MDCT zeigt die Rotation der mesenterialen Gefäße um die eigene Achse („Whirl Sign“) (Pfeile). |
Abbildung 1a: MDCT
Die Kontrastmittel-verstärkte MDCT zeigt die Rotation der mesenterialen Gefäße um die eigene Achse („Whirl Sign“) (Pfeile). |
