Weihs W, Piackova E, Eichenberg C, Fiegl J, Huber K Das Tako-Tsubo-Syndrom – die stressinduzierte Kardiomyopathie // Takotsubo Syndrome – stress-induced Cardiomyopathy Journal für Kardiologie - Austrian Journal of Cardiology 2019; 26 (7-8): 193-197 Volltext (PDF) Summary Übersicht | ||||||||||||
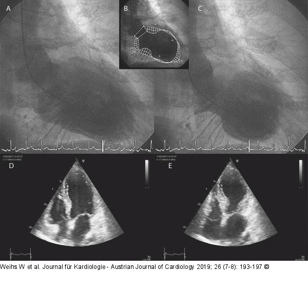
Abbildung 4A-E: Laevokardiogramm - Echokardiogramm (A): Laevokardiogramm enddiastolisch; (B): Kontur; (C): Laevokardiogramm endsystolisch; (D): Echokardiogramm enddiastolisch; (E): Echokardiogramm endsystolisch |
Abbildung 4A-E: Laevokardiogramm - Echokardiogramm
(A): Laevokardiogramm enddiastolisch; (B): Kontur; (C): Laevokardiogramm endsystolisch; (D): Echokardiogramm enddiastolisch; (E): Echokardiogramm endsystolisch |
