Oberthaler W Ist die Vertebroplastie wirklich ein risikoreiches Verfahren? Journal für Mineralstoffwechsel & Muskuloskelettale Erkrankungen 2004; 11 (Sonderheft 1): 20-25 Volltext (PDF) Summary Übersicht | ||||||||||||||||
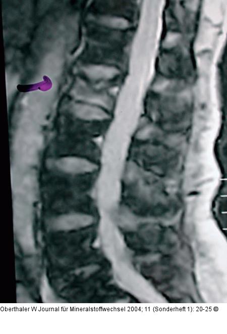
Abbildung 1: Vertebroplastie Erst das MRI zeigt einen eindeutigen Befund: Ödem im Bereich der Läsion |
Abbildung 1: Vertebroplastie
Erst das MRI zeigt einen eindeutigen Befund: Ödem im Bereich der Läsion |
