Oberthaler W Ist die Vertebroplastie wirklich ein risikoreiches Verfahren? Journal für Mineralstoffwechsel & Muskuloskelettale Erkrankungen 2004; 11 (Sonderheft 1): 20-25 Volltext (PDF) Summary Übersicht | ||||||||||||||||||
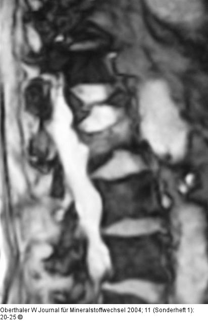
Abbildung 7: Kyphoplastie Typischer MRI-Befund einer älteren keilförmigen Kompressionsfraktur und eines frischen Einbruches ohne größere Deformität |
Abbildung 7: Kyphoplastie
Typischer MRI-Befund einer älteren keilförmigen Kompressionsfraktur und eines frischen Einbruches ohne größere Deformität |
