Oberthaler W Ist die Vertebroplastie wirklich ein risikoreiches Verfahren? Journal für Mineralstoffwechsel & Muskuloskelettale Erkrankungen 2004; 11 (Sonderheft 1): 20-25 Volltext (PDF) Summary Übersicht | ||||||||||||||||||
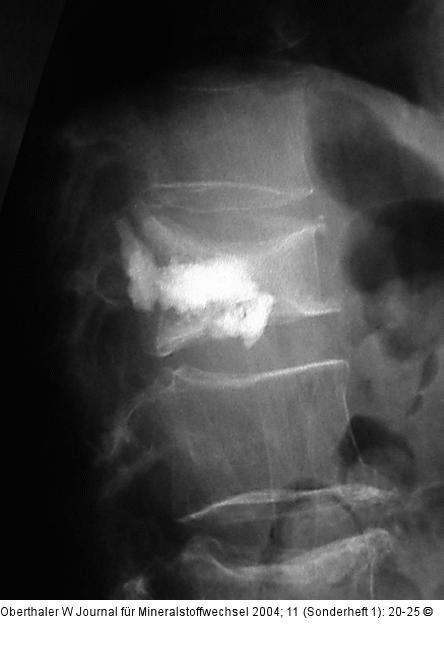
Abbildung 5: Kyphoplastie Ausflüsse von Zement in den Bandscheibenraum sind unproblematisch, nicht jedoch Austritte nach dorsal! |
Abbildung 5: Kyphoplastie
Ausflüsse von Zement in den Bandscheibenraum sind unproblematisch, nicht jedoch Austritte nach dorsal! |
