Grohs I, Riedl K, Strouhal A, Fiegl N Die Mitralklappe/Mitral valve Journal für Kardiologie - Austrian Journal of Cardiology 2024; 31 (5-6): Journal für Kardiologie - Austrian Journal of Cardiology 2024; 31 (9-10): 220-232 Volltext (PDF) Summary Übersicht | ||||||||||||||||
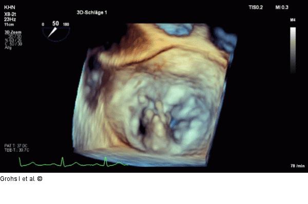
Abbildung 1: Echo-Bild Online 1 TEE, 3D en face view: Prolaps + Flail in P2 |
Abbildung 1: Echo-Bild Online 1
TEE, 3D en face view: Prolaps + Flail in P2 |
