Grohs I, Riedl K, Strouhal A, Fiegl N Die Mitralklappe/Mitral valve Journal für Kardiologie - Austrian Journal of Cardiology 2024; 31 (5-6): Journal für Kardiologie - Austrian Journal of Cardiology 2024; 31 (9-10): 220-232 Volltext (PDF) Summary Übersicht | ||||||||||||||||||
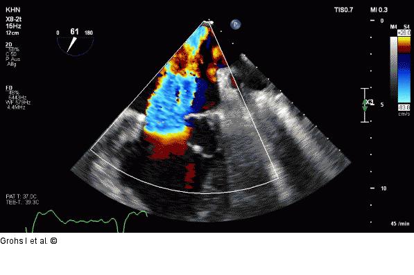
Abbildung 7: Echo-Bild Online 7 CAVE: elliptische PISA - ERO, RV werden unterschätzt |
Abbildung 7: Echo-Bild Online 7
CAVE: elliptische PISA - ERO, RV werden unterschätzt |
