Kröll M, Strouhal A, Fiegl N Aortenklappeninsuffizienz: Was gibt es Neues? // Aortic valve regurgitation – What do the 2021 guidelines say? What has changed from 2017? Journal für Kardiologie - Austrian Journal of Cardiology 2024; 31 (5-6): 120-128 Volltext (PDF) Summary Übersicht | ||||||||||||||||
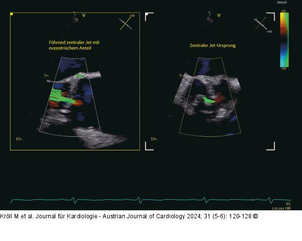
Abbildung 4: Echo 2D-TEE, biplane Darstellung mit Farbdoppler, nicht relevante AI bei degenerativ veränderter BAK |
Abbildung 4: Echo
2D-TEE, biplane Darstellung mit Farbdoppler, nicht relevante AI bei degenerativ veränderter BAK |
