Kröll M, Strouhal A, Fiegl N Aortenklappeninsuffizienz: Was gibt es Neues? // Aortic valve regurgitation – What do the 2021 guidelines say? What has changed from 2017? Journal für Kardiologie - Austrian Journal of Cardiology 2024; 31 (5-6): 120-128 Volltext (PDF) Summary Übersicht | ||||||||||||||||||
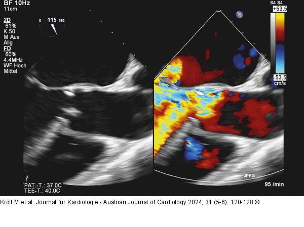
Abbildung 7: Echo Biplanes TEE mit und ohne Farbdoppler, akute AI bei entzündlich destruierter Klappe. |
Abbildung 7: Echo
Biplanes TEE mit und ohne Farbdoppler, akute AI bei entzündlich destruierter Klappe. |
