Knahr K, Pospischill M Künstlicher Hüftgelenksersatz heute - hohe Ansprüche an Material und Funktion Journal für Mineralstoffwechsel & Muskuloskelettale Erkrankungen 2004; 11 (1): 22-26 Volltext (PDF) Summary Übersicht | ||||||||||
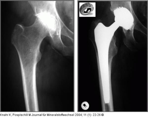
Abbildung 3: Hüftgelenk Metall-Metall-Gleitpaarung bei 48jährigem Mann mit hochgradiger Coxarthrose |
Abbildung 3: Hüftgelenk
Metall-Metall-Gleitpaarung bei 48jährigem Mann mit hochgradiger Coxarthrose |
